Dentista de Maceió, para você que não gosta ou não faz endo no seu consultório, você precisa de um Endo Delivery!
como funciona
1. Agendamento
Entre em contato para discutirmos sobre o caso e disponibilizo minha agenda em que o próprio indicador pode fazer a marcação
2. Atendimento
Na sua clínica, realizo os procedimentos, levando todos equipamentos, materiais e instrumentais necessários
3. Relatório
Após finalizar o atendimento, envio um relatório completo com as informações do tratamento realizado
Vantagens do endo delivery
qualidade
Com foco em endodontia, a atualização é constante. Dessa forma, oferecemos o que há de mais moderno na área
economia
Ocupar uma sala de atendimento ociosa
suporte
Disponibilidade para retornar à clínica do indicador, sempre que necessário
Acompanhamento
Orientações sobre o pós-operatório, bem como atender qualquer dúvida do paciente e/ou do indicador
despreocupação
Cabe ao Delivery levar à clínica parceira, todos os quipamentos, instrumentais e materiais necessários
conforto
O Endo Delivery se desloca até a sua clínica, evitando que o seu paciente precise se ir a outro local e “perde-lo” para outros colegas
Perguntas frequentes
Os valores são fixos e disponibilizados ao indicador via WhatsApp
Fico à disposição para discutir cada caso, auxiliar no diagnóstico e, se necessário, realizar consulta de avaliação
Não. Os valores são fixos e cobrem todos os retornos necessários para a total resolução do caso
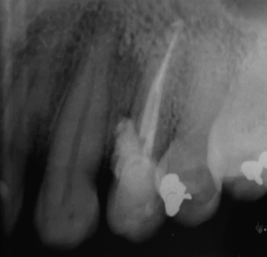
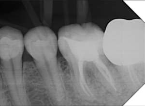
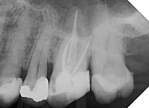
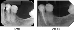
Alguns trabalhos










depoimentos